tel 400-6027-270
Main Image
Anti-I-FABP 兔多克隆抗体
¥1900
加入对比
货号: K1346752-100
亚细胞定位: 细胞质
别名: Fatty acid-binding protein 2,Intestinal-type fatty acid-binding protein,FABP,Fabp2,Fabpi,FABP2,FABPI
应用 | 种属
IHC/IF R
规格:
产品信息
蛋白质全称 肠型脂肪酸结合蛋白
别名 Fatty acid-binding protein 2,Intestinal-type fatty acid-binding protein,FABP,Fabp2,Fabpi,FABP2,FABPI
Uniprot ID P55050
免疫原 KLH偶联的小鼠FABP2合成肽
抗体亚型 IgG
纯化方式 亲和纯化
亚细胞定位 细胞质
应用
IHC/IF 免疫组织化学/免疫荧光
物种:大鼠
稀释比:1:150-1:600
阳性样品:小肠
背景
FABP are thought to play a role in the intracellular transport of long-chain fatty acids and their acyl-CoA esters. FABP2 is probably involved in triglyceride-rich lipoprotein synthesis. Binds saturated long-chain fatty acids with a high affinity, but binds with a lower affinity to unsaturated long- chain fatty acids. FABP2 may also help maintain energy homeostasis by functioning as a lipid sensor.
储存条件
储存条件:储存条件在:-20℃下储存一年, 避免反复冻融.
储存缓冲液:含0.15% ProClin300防腐剂, 100 μg/mL牛血清白蛋白和50%甘油的磷酸盐缓冲液.
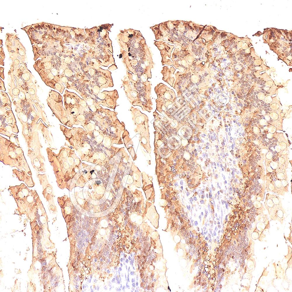
图像
IHC检测I-FABP蛋白(货号 K1346752).
样品: 大鼠小肠, 4%多聚甲醛 (货号KSG1101) 固定12-24小时.
抗原修复: Tris-EDTA抗原修复液(pH 9.0) (KSG1203), 98℃, 20分钟.
—抗: 1: 400稀释, 4℃ 孵育过夜.
二抗: S-vision免疫组化多聚二抗(山羊抗兔),即用型 (货号KB3906), 室温孵育20分钟.
IHC检测I-FABP蛋白(货号 K1346752).
样品: 大鼠小肠, 4%多聚甲醛 (货号KSG1101) 固定12-24小时.
抗原修复: Tris-EDTA抗原修复液(pH 9.0) (KSG1203), 98℃, 20分钟.
—抗: 1: 400稀释, 4℃ 孵育过夜.
二抗: S-vision免疫组化多聚二抗(山羊抗兔),即用型 (货号KB3906), 室温孵育20分钟.

需要技术支持?

如果您有任何问题或如果您在实验过程中遇到问题,或需要更详细的技术指导,请联系我们的技术支持团队
电话 400-6027-270

联系我们

如果您对我们的公司或产品有任何疑问,欢迎随时联系我们