tel 400-6027-270
Main Image
Recombinant Anti-PGC1 beta antibody (兔单克隆抗体)
¥1900
加入对比
货号: K5450144-100
预测分子量: 113 kDa
观测分子量: 120 kDa
亚细胞定位: 细胞核
别名: PERC,PGC1,PGC1B,PPARGC1,PPARGC1B
应用 | 种属
WB H,M,R
IHC/IF H,M,R
规格:
产品信息
蛋白质全称 过氧化物酶体增殖物激活受体γ辅激活因子1β
别名 PERC,PGC1,PGC1B,PPARGC1,PPARGC1B
Uniprot ID Q86YN6
免疫原 人PGC1 beta重组蛋白
抗体亚型 IgG, κ
克隆号 SB325
纯化方式 亲和纯化
亚细胞定位 细胞核
预测分子量./观测分子量. 113 kDa / 120 kDa
应用
WB 免疫印迹
物种:人,小鼠,大鼠
稀释比:1:1000-1:2000
阳性样品:—
IHC/IF 免疫组织化学/免疫荧光
物种:人,小鼠,大鼠
稀释比:1:3000-1:6000
阳性样品:心, 肝癌
背景
Plays a role of stimulator of transcription factors and nuclear receptors activities. Activates transcriptional activity of estrogen receptor alpha, nuclear respiratory factor 1 (NRF1) and glucocorticoid receptor in the presence of glucocorticoids. May play a role in constitutive non-adrenergic-mediated mitochondrial biogenesis as suggested by increased basal oxygen consumption and mitochondrial number when overexpressed. May be involved in fat oxidation and non-oxidative glucose metabolism and in the regulation of energy expenditure. Induces the expression of PERM1 in the skeletal muscle in an ESRRA-dependent manner.
储存条件
储存条件:储存条件在:-20℃下储存一年, 避免反复冻融.
储存缓冲液:含0.15% ProClin300防腐剂, 100 μg/mL牛血清白蛋白和50%甘油的磷酸盐缓冲液.
图像
IHC检测PGC1 beta蛋白(货号 K5450144).
样品: 人肝癌, 4%多聚甲醛 (货号KSG1101) 固定12-24小时.
抗原修复: 柠檬酸抗原修复液(干粉, pH 6.0) (KSG1201), 高压锅均匀喷气计时2分钟.
—抗: 1: 4500稀释, 4℃ 孵育过夜.
二抗: S-vision免疫组化多聚二抗(山羊抗兔),即用型 (货号KB3906), 室温孵育20分钟.
IHC检测PGC1 beta蛋白(货号 K5450144).
样品: 小鼠心, 4%多聚甲醛 (货号KSG1101) 固定12-24小时.
抗原修复: 柠檬酸抗原修复液(干粉, pH 6.0) (KSG1201), 高压锅均匀喷气计时2分钟.
—抗: 1: 4500稀释, 4℃ 孵育过夜.
二抗: S-vision免疫组化多聚二抗(山羊抗兔),即用型 (货号KB3906), 室温孵育20分钟.
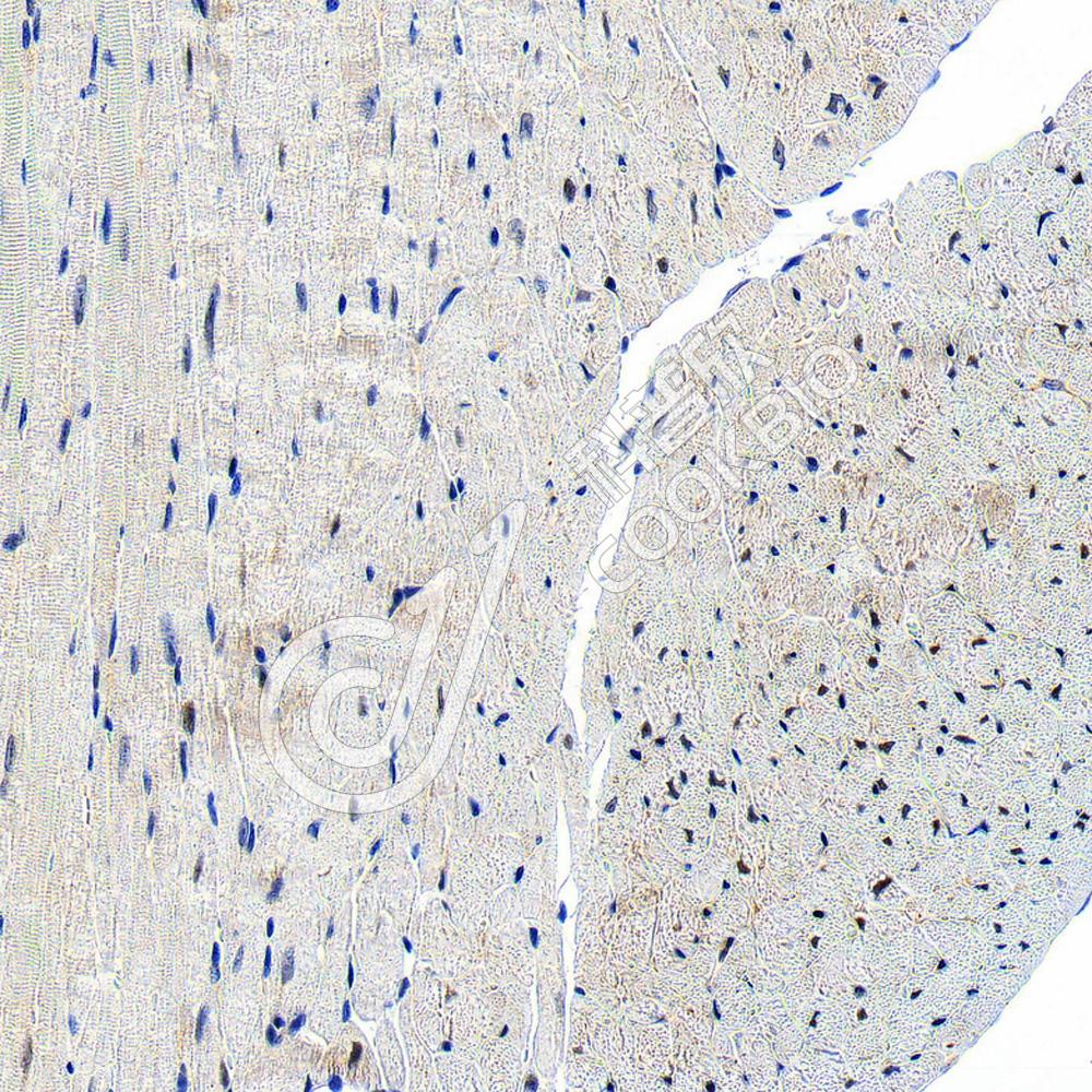
IHC检测PGC1 beta蛋白(货号 K5450144).
样品: 大鼠心, 4%多聚甲醛 (货号KSG1101) 固定12-24小时.
抗原修复: 柠檬酸抗原修复液(干粉, pH 6.0) (KSG1201), 高压锅均匀喷气计时2分钟.
—抗: 1: 4500稀释, 4℃ 孵育过夜.
二抗: S-vision免疫组化多聚二抗(山羊抗兔),即用型 (货号KB3906), 室温孵育20分钟.

需要技术支持?

如果您有任何问题或如果您在实验过程中遇到问题,或需要更详细的技术指导,请联系我们的技术支持团队
电话 400-6027-270

联系我们

如果您对我们的公司或产品有任何疑问,欢迎随时联系我们