tel 400-6027-270
Main Image
Anti-DPP4/CD26 兔多克隆抗体
¥1900
加入对比
货号: K1345960-100
预测分子量: 88 kDa
观测分子量: 110 kDa
亚细胞定位: 细胞膜
别名: ADABP,ADCP 2,ADCP2,CD26,dipeptidyl peptidase 4,Dipeptidyl peptidase IV,DPP IV,DPP4,DPPIV,T cell activation antigen CD26,TP103
应用 | 种属
WB M,R
IHC/IF M,R
规格:
产品信息
蛋白质全称 二肽基肽酶4
别名 ADABP,ADCP 2,ADCP2,CD26,dipeptidyl peptidase 4,Dipeptidyl peptidase IV,DPP IV,DPP4,DPPIV,T cell activation antigen CD26,TP103
Uniprot ID P28843
免疫原 小鼠CD26重组蛋白
抗体亚型 IgG
纯化方式 亲和纯化
亚细胞定位 细胞膜
预测分子量./观测分子量. 88 kDa / 110 kDa
应用
WB 免疫印迹
物种:小鼠,大鼠
稀释比:1:300-1:600
阳性样品:肾
IHC/IF 免疫组织化学/免疫荧光
物种:小鼠,大鼠
稀释比:1:300-1:600
阳性样品:肾, 肝
背景
DPP4 (also known as CD26) is a serine exopeptidase that cleaves X-proline dipeptides from the N terminus of polypeptides. It is an intrinsic membrane glycoprotein anchored into the cell membrane by its N-terminal end. High levels of the enzyme are found in the brush-border membranes of the kidney proximal tubule and of the small intestine, but several other tissues also express the enzyme.
储存条件
储存条件:储存条件在:-20℃下储存一年, 避免反复冻融.
储存缓冲液:含0.15% ProClin300防腐剂, 100 μg/mL牛血清白蛋白和50%甘油的磷酸盐缓冲液.
图像
WB检测DPP4/CD26蛋白(货号 K1345960).
样品: 经RIPA裂解液(货号KSG2002)处理的蛋白质.
封闭: 3%脱脂牛奶(货号KSGC310001)溶于TBST溶液, 室温孵育1小时.
—抗: 1: 500稀释, 4℃ 孵育过夜.
二抗: HRP标记山羊抗兔IgG (H+L) (货号KB69909), 1: 5000稀释, 室温孵育1小时.
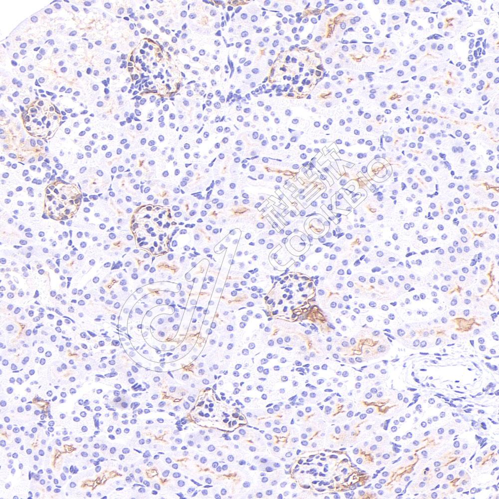
IHC检测DPP4/CD26蛋白(货号 K1345960).
样品: 小鼠肾, 4%多聚甲醛 (货号KSG1101) 固定12-24小时.
抗原修复: 柠檬酸抗原修复液(干粉, pH 6.0) (KSG1201), 98℃, 20分钟.
—抗: 1: 500稀释, 4℃ 孵育过夜.
二抗: S-vision免疫组化多聚二抗(山羊抗兔),即用型 (货号KB3906), 室温孵育20分钟.
IHC检测DPP4/CD26蛋白(货号 K1345960).
样品: 大鼠肝, 4%多聚甲醛 (货号KSG1101) 固定12-24小时.
抗原修复: 柠檬酸抗原修复液(干粉, pH 6.0) (KSG1201), 98℃, 20分钟.
—抗: 1: 500稀释, 4℃ 孵育过夜.
二抗: S-vision免疫组化多聚二抗(山羊抗兔),即用型 (货号KB3906), 室温孵育20分钟.

需要技术支持?

如果您有任何问题或如果您在实验过程中遇到问题,或需要更详细的技术指导,请联系我们的技术支持团队
电话 400-6027-270

联系我们

如果您对我们的公司或产品有任何疑问,欢迎随时联系我们