tel 400-6027-270
Main Image
Recombinant Anti-CD103 antibody (兔单克隆抗体)
¥1900
加入对比
货号: K5450399-100
亚细胞定位:
别名: Integrin alpha M290,CD103,Integrin alpha-E light chain,Itgae
应用 | 种属
IHC/IF H
规格:
产品信息
蛋白质全称 整合素α-E
别名 Integrin alpha M290,CD103,Integrin alpha-E light chain,Itgae
Uniprot ID P38570
免疫原 KLH偶联的人CD103合成肽
抗体亚型 IgG
克隆号 SB568
纯化方式 亲和纯化
亚细胞定位
应用
IHC/IF 免疫组织化学/免疫荧光
物种:人
稀释比:1:500-1:1000
阳性样品:结肠, 食管癌
背景
Integrins are heterodimeric integral membrane proteins composed of an alpha chain and a beta chain. ITGAE encodes an I-domain-containing alpha integrin that undergoes post-translational cleavage in the extracellular domain, yielding disulfide-linked heavy and light chains. In combination with the beta 7 integrin, this protein forms the E-cadherin binding integrin known as the human mucosal lymphocyte-1 antigen. This protein is preferentially expressed in human intestinal intraepithelial lymphocytes (IEL), and in addition to a role in adhesion, it may serve as an accessory molecule for IEL activation.
储存条件
储存条件:储存条件在:-20℃下储存一年, 避免反复冻融.
储存缓冲液:含0.15% ProClin300防腐剂, 100 μg/mL牛血清白蛋白和50%甘油的磷酸盐缓冲液.
图像
IHC检测CD103蛋白(货号 K5450399).
样品: 人结肠, 4%多聚甲醛 (货号KSG1101) 固定12-24小时.
抗原修复: Tris-EDTA抗原修复液(pH 9.0) (货号KSG1203), 水浴100℃, 25分钟.
—抗: 1: 800稀释, 4℃ 孵育过夜.
二抗: S-vision免疫组化多聚二抗(山羊抗兔),即用型 (货号KB3906), 室温孵育20分钟.
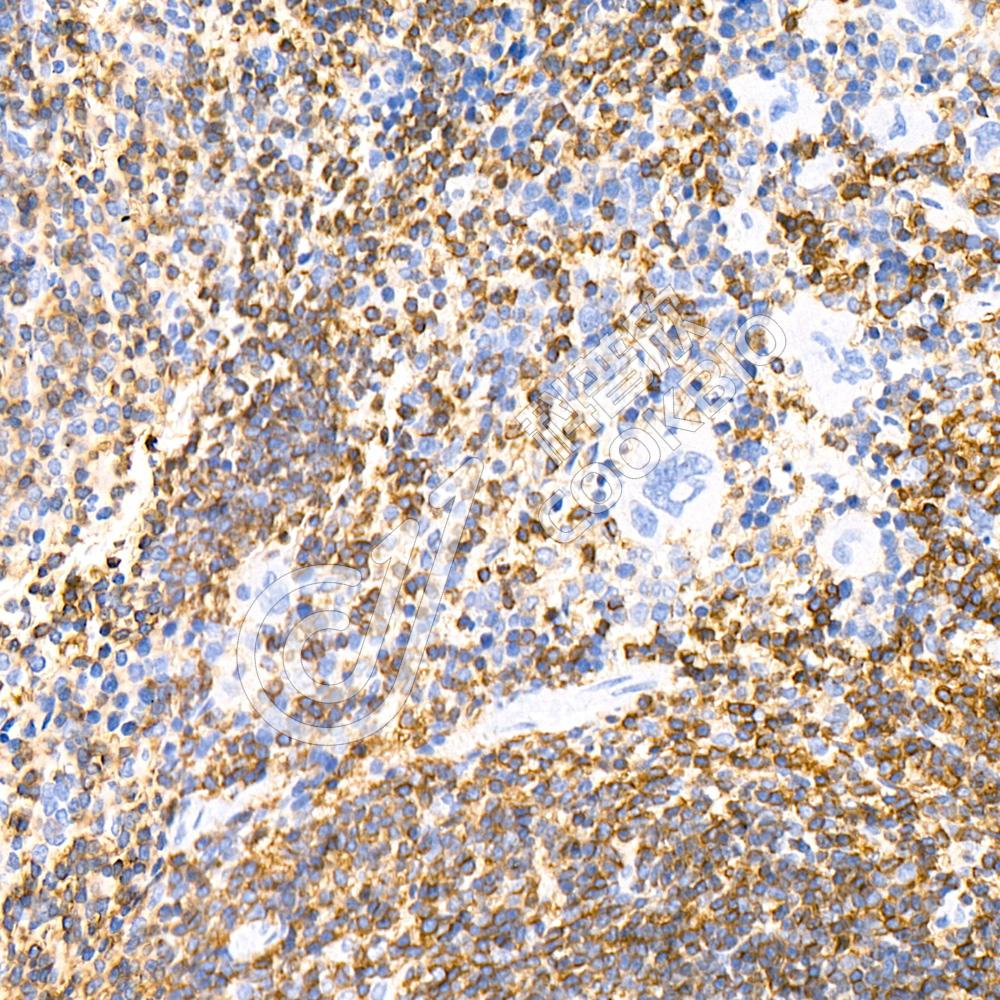
IHC检测CD103蛋白(货号 K5450399).
样品: 人食管癌, 4%多聚甲醛 (货号KSG1101) 固定12-24小时.
抗原修复: Tris-EDTA抗原修复液(pH 9.0) (货号KSG1203), 水浴100℃, 25分钟.
—抗: 1: 800稀释, 4℃ 孵育过夜.
二抗: S-vision免疫组化多聚二抗(山羊抗兔),即用型 (货号KB3906), 室温孵育20分钟.

需要技术支持?

如果您有任何问题或如果您在实验过程中遇到问题,或需要更详细的技术指导,请联系我们的技术支持团队
电话 400-6027-270

联系我们

如果您对我们的公司或产品有任何疑问,欢迎随时联系我们